'DOENÇA RARA'

Mulher com suspeita de tuberculose descobre que tinha preservativo no pulmão

Ela se queixava de tosse, febre e acúmulo de muco, que já persistia por dois meses

Mulher com suspeita de tuberculose tinha na verdade camisinha no pulmão
Mulher com suspeita de tuberculose tinha na verdade camisinha no pulmão (Foto: Reprodução/Pixabay)

Médicos da Índia registraram um caso incomum de uma professora de 27 anos, que deu entrada em um hospital com sinais de tuberculose, mas que tinha na verdade inalado acidentalmente uma camisinha durante uma relação sexual com o marido. Os especialistas descreveram o incidente em um estudo publicado no jornal científico da National Library of Medicine.

De acordo com a pesquisa, na primeira consulta a mulher se queixava de tosse, febre e acúmulo de muco, que já persistia por dois meses. Ela, que já havia recebido prescrição de antibióticos e tratamento antituberculose, resolveu voltar ao hospital após quatro meses, uma vez que os sintomas não tinham passado.

A professora foi avaliada de novo para confirmar se tinha tuberculose, que afeta os pulmões e mata mais de um milhão de pessoas por ano em todo o mundo, segundo a OMS (Organização Mundial de Saúde).

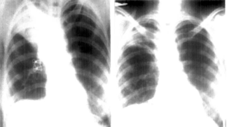
Porém, o teste deu negativo para a doença: havia, na verdade, uma lesão em um lobo pulmonar superior da paciente, resultado da inalação do preservativo.

Os profissionais de saúde só perceberam isso ao examinarem o tórax dela e notarem uma “estrutura semelhante a uma bolsa invertida ‘parada’ no brônquio”. Quando os médicos removeram cirurgicamente essa “bolsa”, eles entenderam finalmente que se tratava da camisinha.

Raio-x de pulmão após inalação acidental de camisinha - Reprodução/C. L. Arya, R. Gupta, V. Arora/Semantic Scholar  - Reprodução/C. L. Arya, R. Gupta, V. Arora/Semantic Scholar

Raio-x de pulmão após inalação acidental de camisinha

(Foto: Reprodução/UOL)

Quando a paciente foi questionada sobre como o preservativo foi inalado, ela se lembrou de uma vez na qual havia feito sexo oral no marido.

“Eles [marido e mulher] podiam se lembrar que a camisinha se soltou durante o ato”, descreveram os médicos. “Naquela época, a senhora também teve um episódio de espirro ou tosse.”

Mesmo após a mulher ter sido operada, alguns pequenos pedaços da camisinha permaneceram presos no pulmão. Por isso, é provável que ela tenha que ser examinada novamente, em um procedimento de broncoscopia, que avalia a traqueia, os brônquios e parte dos pulmões. De qualquer forma, a professora deve se recuperar em breve, segundo os médicos.