QUE IDEIA

Mulheres compram ovos de tênia na dark web para emagrecer

Técnica pode incluir a liberação de óvulos na corrente sanguínea e causar convulsões potencialmente fatais

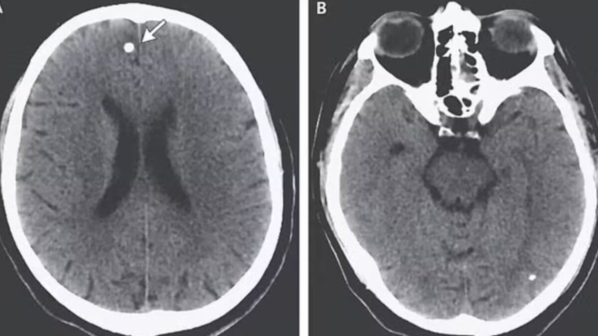
Ovos de tênia no cérebro de paciente nos EUA (Foto: Reprodução)
Mulheres compram ovos de tênia na dark web para comer e emagrecer (Foto: reprodução)

(Agência O Globo) Mulheres estão tomando pílulas de ovos de tênia de propósito na tentativa de emagrecer. O alerta foi feito por médicos que compartilharam a história nas redes sociais como forma de advertir e alertar as pessoas para os perigos da prática. Segundo os especialistas, as mulheres compram pílulas que contêm os ovos pela internet, mais precisamente na dark web.

As tênias são parasitas que entram no intestino humano geralmente em casos de consumo de carne mal cozida. Uma vez lá dentro, elas consomem uma parte da comida ingerida pelo hospedeiro, podendo desencadear a perda de peso, mas também diarreia e vômitos.

Riscos de comer ovos de tênia para emagrecer

Essa ingestão, porém, pode levar à liberação de ovos do parasita na corrente sanguínea, que podem circular até alcançar o cérebro e causar sintomas como convulsões potencialmente fatais. Os médicos apresentaram nas redes o caso de uma mulher de 21 anos, que eles chamaram de “TE”, para fazer um alerta. Segundo os especialistas, ela comprou uma caixa de pílulas contendo ovos de tênia online.

Bernard Hsu, especialista em câncer nos Estados Unidos que fez o alerta, disse que a paciente em questão encontrou os comprimidos por meio de postagens criadas deliberadamente para atrair curiosos. Ele conta que “TE” obteve os resultados esperados no começo e emagreceu, embora tenha sofrido cólicas estomacais que foram ignoradas.

Em uma noite, porém, a mulher sentiu algo estranho quando estava no banheiro, como se alguma coisa estivesse batendo em sua bochecha pela parte interna. Quando ela estava prestes a dar descarga, olhou para trás e viu pedaços retangulares e bronzeados flutuando no vaso sanitário, saindo das fezes. Ela ignorou novamente acreditando que poderia ser gordura sendo eliminada de seu organismo.

Semanas depois, ela encontrou um caroço em seu queixo. Ao pressioná-lo, desmaiou. Quando acordou, um tempo depois, sentiu uma pressão imensa no crânio e, nos dias seguintes, foi bombardeada por intensas dores de cabeça. Foi o momento em que decidiu buscar o pronto-socorro.

Além das dores de cabeça, ela apresentava inchaço e dor abdominal intensa. Os médicos finalmente realizaram testes em seu líquido cefalorraquidiano — que se acumula na coluna e ao redor do cérebro, protegendo o órgão e auxiliando o fluxo sanguíneo normal. Os resultados mostraram que o líquido estava sob o dobro da pressão necessária, sugerindo que havia algo que não deveria estar ali.

No entanto, os médicos acreditaram que poderia ser uma infecção viral indetectável. Prescreveram medicamentos para controlar o inchaço, aliviando seus sintomas, e “TE” foi liberada para casa. Na semana seguinte, porém, os sintomas pioraram. No meio do dia, a paciente não se lembrava de coisas simples de sua vida, como se estivesse tendo pequenos casos de amnésia, o que a levou a voltar para o hospital.

Os médicos, agora examinando seu cérebro mais de perto, encontraram diversas lesões preocupantes no órgão. Após questionamentos persistentes sobre sua dieta e hábitos, “TE” confessou aos médicos que consumia ovos de tênia que havia comprado online. A análise do que exatamente ela havia comprado revelou a presença de tênias pertencentes a duas espécies diferentes de parasitas.

Uma delas era chamada de Taenia saginata, também conhecida como tênia da carne, em homenagem à carne em que é mais comumente encontrada. Os ovos desses vermes parecem segmentos retangulares de cor bege, como os que “TE” notou no vaso sanitário.

Mas, os problemas no cérebro foram causados pelos ovos da outra espécie, chamada de Taenia solium. Ela é comumente encontrada na carne de porco e libera pequenos ovos que, quando entram na corrente sanguínea, como foi o caso de “TE”, se espalham para tecidos como músculos e cérebro levando a uma doença chamada de cisticercose.

Embora esses ovos não consigam eclodir fora do intestino, eles formam nódulos duros, semelhantes a cistos, que parecem caroços sob a pele. Hsu acrescentou ainda que há casos de alterações na visão, mudanças de personalidade e diminuição da função cognitiva devido a pressão exercida pelos nódulos e pelo inchaço do local, a depender do local em que se alojam no tecido do cérebro.

Às vezes, as consequências são relatadas até mesmo anos após a infecção inicial pela Taenia solium ter sido descoberta e tratada. — Em um ser humano saudável, a perda de peso com dieta e exercícios é fisicamente possível, e isso apresenta muito menos riscos do que deixar organismos extras viverem intencionalmente dentro de você — alertou o médico na publicação.

Os médicos deram a “TE” dois medicamentos para combater a infestação: um que paralisa os vermes, fazendo com que eles se desprendam do intestino, e outro que os priva dos açúcares necessários para sobreviverem. Eles também prescreveram esteroides para diminuir o nível de inflamação em seu cérebro e permitir que seu corpo eliminasse os ovos, embora isso não fosse algo garantido.

Segundo os especialistas, após três semanas de internação, não havia mais sinais de ovos em seu cérebro e, seis meses depois, “TE” parecia não apresentar mais sintomas.

Acredita-se que cerca de 2,5 milhões de pessoas sejam infectadas com Taenia solium por ano ao comer alimentos contaminados involuntariamente, mais frequentemente nas regiões mais pobres da Ásia, América do Sul e Europa Oriental.

O que é a cisticercose?

Considerada rara no Brasil, com menos de 150 mil casos por ano, a cisticercose é causada por cistos da larva da Taenia solium nos tecidos. Cisto é uma forma que protege certos protozoários, com uma película ou cápsula, envolvendo um parasita capaz de se reproduzir quando encontrar o ambiente adequado.

Os sintomas variam conforme o local onde o parasita está alojado. Quando está na musculatura, pode causar inchaço, inflamação e dificuldade nos movimentos. Porém, especialistas afirmam que este quadro ocorre, na maioria das vezes, em pessoas imunossuprimidas, ou seja, que têm o sistema imunológico mais frágil.

Quais são os sintomas da cisticercose?

Quando chega ao cérebro (neurocisticercose), o paciente pode ter dores de cabeça frequentes, convulsões e confusão mental, sendo uma das principais causas de convulsões em adultos na maioria dos países de baixa renda, de acordo com os Centros de Controle e Prevenção de Doenças (CDC) dos Estados Unidos.

Já a cisticercose ocular pode desenvolver visão embaçada, inchaço, deslocamento da retina e até mesmo levar à cegueira. Os sintomas podem ocorrer meses a anos após a infecção, geralmente quando os cistos começam a morrer.

Nesse momento, o cérebro ou outro tecido ao redor do cisto pode inchar. A pressão causada pelo inchaço é o que geralmente provoca os sintomas da infecção. Às vezes, os sintomas são causados também pela pressão do cisto em um pequeno espaço, segundo os CDC.