FOI BALEADO

Jovem fica 8 anos sem saber que tinha bala de arma de fogo presa no nariz

uando ele assoou as narinas, "um odor pungente e fétido encheu a sala", disseram os pesquisadores

O que se sabe sobre caso do PM morto na Bahia após atacar colegas durante 'surto'
Imagem ilustrativa (Foto: Reprodução/Pixabay)

Após anos enfrentando congestão nasal e sentindo um odor fétido, um adolescente de 16 anos descobriu que estava há cerca de 8 anos com uma bala de arma de fogo alojada no nariz. O caso foi relatado em um estudo publicado em fevereiro no jornal científico JAMA Otolaryngology.

De acordo com a pesquisa, o jovem visitou um médico pela primeira vez aos 15 anos de idade, reclamando também de redução do olfato. Ele foi examinado com um endoscópio e diagnosticado com hipertrofia turbinada, que é um quadro inflamatório frequentemente associado a alergias sazonais.

O paciente deveria então passar um spray nasal, usar medicação anti-histamínica para a alergia e retornar dali a seis semanas. Porém ele só voltou um ano depois, aos 16 anos, ainda sofrendo com o problema no nariz.

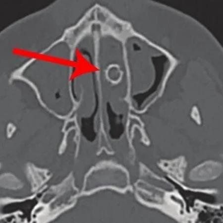
Quando ele assoou as narinas, “um odor pungente e fétido encheu a sala”, disseram os autores da pesquisa. Em resposta, os médicos realizaram uma tomografia no adolescente e descobriram que havia uma bala de 9 milímetros em sua cavidade nasal.

O jovem passou por uma cirurgia para a retirada do objeto e descobriu que a bala de chumbo tinha ficado presa desde que ele foi baleado quando tinha cerca de 8 ou 9 anos de idade. Na época do incidente, ele não sentiu nenhum incômodo que pudesse indicar o projétil.

 Tomografia computadorizada do nariz do adolescente mostra a bala de espingarda na cavidade nasal - Divulgação/JAMA Otolaryngology - Divulgação/JAMA Otolaryngology

Tomografia computadorizada do nariz do adolescente mostra a bala de espingarda na cavidade nasal

Imagem: Divulgação/JAMA Otolaryngology

Em entrevista ao site Live Science, o coautor do estudo, Dylan Erwin, da Universidade do Texas, nos Estados Unidos, explicou que o odor desagradável sentido pelo rapaz ocorreu uma vez que o “objeto estranho causa o bloqueio das vias naturais de drenagem no nariz, então há um acúmulo de muco, resíduos inalados e bactérias”.

Todavia, nem sempre isso causa febre ou sinais de que está ocorrendo uma infecção. Logo, a bala passou despercebida, ainda mais porque o projétil já havia se conectado a tecidos novos que cresciam nas narinas do adolescente depois de tantos anos.

“Um tecido de aparência saudável cresceu completamente sobre ele [o projétil]”, descreveu Erwin. “Para os médicos enxergarem a bala, esse tecido circundante teve que ser removido cirurgicamente”, completou.

Por sorte, o adolescente voltou a sentir normalmente odores e o cheiro desagradável proveniente do objeto intruso desapareceu ao longo do tempo, de acordo com os pesquisadores.

Jovem encontra cobra venenosa dentro de bombinha de asma na Austrália; Leia.