Bancário de Manaus tem pulmão perfurado por uso de cigarro eletrônico: ‘poderia ter morrido’
Allan Douglas fez uso casual do produto por cinco meses, mas teve problema de saúde duas semanas depois de passar a fumar diariamente
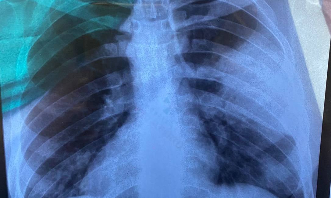
Uma viagem de férias virou um verdadeiro pesadelo para o bancário Allan Douglas, de 30 anos. Natural de Manaus, o jovem estava a passeio no carnaval do Rio de Janeiro quando acordou com fortes dores e tosse seca. Após uma consulta rápida em uma Unidade de Pronto-Atendimento (UPA), foi liberado e retornou para a casa, no Norte do país. Na Quarta-Feira de Cinzas (2), Allan deu entrada em um hospital privado da região e, por uma tomografia, ficou constatado que o pulmão tinha sido perfurado. O jovem não precisou ser entubado, mas ficou três dias na Unidade de Tratamento Intensivo (UTI).
– No dia que voltei do Rio, fui ao trabalho, falei muito e senti falta de ar. Fui ao hospital e me colocaram imediatamente na UTI. O médico foi claro que, se eu não tivesse plano de saúde, poderia ter morrido com a infecção de bactérias – disse Allan, em entrevista ao GLOBO, explicando que o médico deestacou que o tempo de socorro, nestas situações, é determinante para a sobrevivência do paciente.
O bancário relata que sempre fumou cigarro casualmente, mas que há cerca de cinco meses, aderiu a tendência dos cigarros eletrônicos, os chamados ‘vapes’. No final de fevereiro, como estava de férias do trabalho, passou a fumar todos os dias no período de duas semanas.
– Eu apenas fazia uso em saídas com os amigos, mas como não estava trabalhando, usei todos os dias, principalmente na praia. Não costumava tragar, apenas aspirar. Acredito que seja muito importante discutir isso amplamente porque cada um tem um organismo e existe o risco. De dez pessoas que andam comigo, seis utilizam vapes – alerta Allan.

Allan Douglas ficou internado por dez dias e neste sábado (12), recebeu alta médica. Justamente neste dia, resolveu publicar o que tinha ocorrido com ele nas redes sociais, mas não esperava tamanha repercussão.
– Não queira passar o que passei, foi uma lição de vida – escreveu no post que rendeu mais de 26 mil compartilhamentos e 108 mil curtidas e que chegou a ser comentado por influencers.
Ao GLOBO, ele pede para que as pessoas prestem atenção a sinais de quadros que podem ser graves.
– Tem gente que usa isso todos os dias e não imagina que algo assim possa ocorrer. Eu não imaginava – afirma o bancário.
‘Vapes’ são proibídos no país
Apesar de utilizado em todas as regiões do país, os cigarros eletrônicos são proibídos no Brasil. De acordo com a Resolução de Diretoria Colegiada da Anvisa (RDC nº 46), de 28 de agosto de 2009, a comercialização, importação e propaganda dos cigarros eletrônicos estão vetadas. Ainda segundo as autoridades, a medida é baseada na inexistência de dados científicos que comprovem a eficiência, eficácia e segurança dos dispositivos.